Admira Fusion
Die erste Keramik zum Füllen
Innovative „Pure Silicate Technology“ im Einsatz
Mit Admira Fusion präsentiert VOCO das weltweit erste rein keramisch basierte Universal-Füllungsmaterial. Ermöglicht wird dies durch die innovative Verbindung der bewährten Nanohybrid- mit der gemeinsam mit dem Fraunhofer-Institut für Silicatforschung entwickelten ORMOCER®-Technologie. Hatte VOCO bereits 1999 mit Admira das erste ORMOCER®-basierte Füllungssystem und 2003 dann mit Grandio das erste Nanohybrid-Composite auf den Markt gebracht, ist es jetzt dank intensiver Forschung gelungen, die Vorteile beider Füllungssysteme zu kombinieren.
Beim neuen Nanohybrid-ORMOCER® Füllungsmaterial Admira Fusion ist Siliziumoxid die verwendete chemische Basis, und zwar sowohl für die Füllstoffe als auch – und das ist die enorme Entwicklungsleistung – bei der Harzmatrix. Diese einzigartige „Pure Silicate Technology“ bringt gleich mehrere bemerkenswerte Vorzüge mit sich: So weist Admira Fusion die mit Abstand niedrigste Polymerisationsschrumpfung von 1,25 Vol.-% und einen damit verbundenen extrem niedrigen Schrumpfungsstress im Vergleich zu allen herkömmlichen Füllungscomposites auf.

Admira Fusion ist durch die eingesetzten ORMOCER®e („Organically Modified Ceramics“) hoch biokompatibel, da keine klassischen Monomere enthalten sind und somit nach der Polymerisation auch nicht wieder freigesetzt werden können. Das lichthärtende, röntgenopake Nanohybrid-ORMOCER® enthält 84 Gew.% anorganische Füllstoffe und deckt ein breites Indikationsspektrum ab. Dazu gehören u.a. Füllungen der Klassen I bis V, Rekonstruktionen von traumatisch beschädigten Frontzähnen, die Verblockung oder Schienung von gelockerten Zähnen, Stumpfaufbauten und die Anfertigung von Composite-Inlays. Admira Fusion besticht außerdem durch seine besonders hohe Farbstabilität und ist somit absolut universell einsetzbar – für höchste Ansprüche im Front- und Seitenzahnbereich. Das sehr homogene Material bietet ein hervorragendes Handling und ist mit allen konventionellen Bondings kompatibel.
Ergänzt wird das Füllsystem durch Admira Fusion x-tra, das bei absolut identischen physikalischen Werten Inkrementstärken von bis zu 4 mm erlaubt. Die Fast-Track-Variante überzeugt ebenfalls mit seiner niedrigen Volumenschrumpfung und herausragender Biokompatibilität. Vereinfacht wird die Handhabung zusätzlich durch die universelle Farbe U, die im Seitenzahnbereich mit Hilfe ihrer chamäleonartigen Anpassung an die umgebende Zahnsubstanz ästhetische Ergebnisse ermöglicht. Admira Fusion und Admira Fusion x-tra sind Drehspritzen und Caps für die Direktapplikation erhältlich.

Admira Fusion
Nanohybrid-ORMOCER Füllungsmaterial. Erstes rein keramisch basiertes Füllungsmaterial auf Siliziumoxid-Basis.
55,90 €

Admira Fusion x-tra
Neues Nanohybrid-Ormocer Füllungsmaterial mit sehr hoher Biokompatibilität für Schichtstärken bis zu 4 mm.
55,90 €

Admira Fusion Flow
Fließfähiges, lichthärtendes Nanohybrid-ORMOCER Füllungsmaterial.
69,00 €
Mehr Informationen

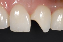
Abb. 1: Inzisalfraktur an Zahn 21

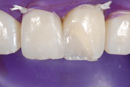
Abb. 2: Modellieren des Dentinkerns (OA2) und der Inzisalkante (I)

Abb. 3: Aufbringen der letzten Schicht (A2) und Ausgestalten der Zahnform

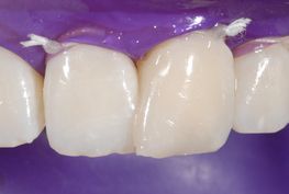
Abb. 4: Ausgearbeitete und polierte Füllungen

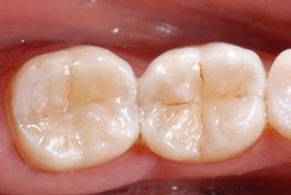
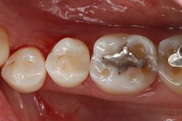
Abb. 1: Insuffiziente Amalgamfüllungen der Zähne 46 und 47

Abb. 2: Präparierte Kavitäten

Abb. 3: Modellierung des noch plastischen Füllungsmaterials (A2)

Abb. 4: Ausgearbeitete und polierte Füllungen

Abb. 1: Insuffiziente Composite-Füllung an Zahn 45

Abb. 2: Vorbereitete Kavität zur Aufnahme der Füllung

Abb. 3: Applikation von Admira Fusion x-tra in 4-mm-Schichten

Abb. 4: Funktionales und ästhetisches Endergebnis


